互联网新闻信息许可证服务编号:61120190002

陕西互联网违法和不良信息举报电话:029-63907152

新闻热线:029-86253335

当重阳节遇上“脑力运动会”——西安交大二附院老年神经内科开展重阳节敬老活动

看,快要掉落的“太空人”,反应游戏的“光速手”,护士头上的充气发卡……这可不是游乐园,而是西安交大二...

2025-10-29

如果延误,可能弯个腰就会骨折

“语言不通,跑了好几家医院,都说情况太复杂,不敢手术……幸好找到凌主任,终于有救了!” 在西京医院九八六医院普外科二病区(甲乳外科),来自青海的患者紧握着医护人员的手,眼中...

2025-10-29

直面隐匿病魔:西安交大二附院精准锁定罕见血管瘘 为患者重燃生机

近日,西安交通大学第二附属医院神经外科成功诊治一例极为罕见的岩骨脊区硬脑膜动静脉瘘。该病例不仅位置特殊——位于岩骨脊...

2025-10-29

西安大兴医院移动ICU:为急危重症患者架起“生命转运桥”

地方医院治不了急危重症,转院又怕路上出危险……这是不少患者家属的心中的忧虑。现在,这样的担忧可以消除了,西...

2025-10-29

西安科技大学在中国青年科技创新“揭榜挂帅”竞赛中斩获12项大奖

10月28日,第十九届“挑战杯”2025年度中国青年科技创新“揭榜挂帅”擂台赛在重庆落下帷幕,西安科技大学...

2025-10-29

为了保住腿 患者体内搭了一座“桥”

面对贯穿伤导致的肢体严重缺血、组织濒临坏死危重患者,截肢似乎是“常规答案”。然而,西京医院骨科创伤团队却选择了一条更为...

2025-10-29

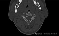
西北大学第一医院完成高难度创伤性枢椎滑脱骨折后路复位内固定术

近日,西北大学第一医院脊柱外科(骨科三病区)手术室内,一场紧张而关键的生命保卫战圆满落幕。医疗团队凭借精湛医术与紧密协...

2025-10-28

西安护理学会健康管理专委会正式成立

10月24日,由西安护理学会主办、西安市红会医院承办的“西安护理学会健康管理专业委员会成立暨‘学术金秋’活动”,在西安市红会医院北院区学术厅召...

2025-10-28

西安市中心医院神经内科获西北认知障碍健康科普大赛一等奖

10月24日,由西北认知学院、陕西省性学会痴呆照护分会联合主办的“2025年陕西省认知障碍健康科普大赛”圆满落幕,西安市中...

2025-10-28

西北大学第一医院“世界卒中日”科普义诊送健康

10月28日上午,西北大学第一医院组织了一场聚焦脑卒中防治的多学科联合义诊,用专业力量为市民筑起抵御卒中风险的“第一道防线”。义诊现场...

2025-10-28

共 9034 条 共 904 页 首页 21 22 23 24 25 26 27 28 29 30 尾页