互联网新闻信息许可证服务编号:61120190002
陕西互联网违法和不良信息举报电话:029-63907152
2025-10-28 19:51:47 来源:阳光网-阳光报
阳光讯(记者 郑亚雷)近日,西北大学第一医院脊柱外科(骨科三病区)手术室内,一场紧张而关键的生命保卫战圆满落幕。医疗团队凭借精湛医术与紧密协作,成功为一名因车祸导致创伤性枢椎滑脱(Hangman骨折II型)的患者实施了高风险的后路颈椎切开复位、椎弓根钉棒系统内固定术,术后患者转危为安,神经功能完好无损。这一标志性手术的成功,标志着该院脊柱外科在处理颈椎创伤领域取得又一重大突破。

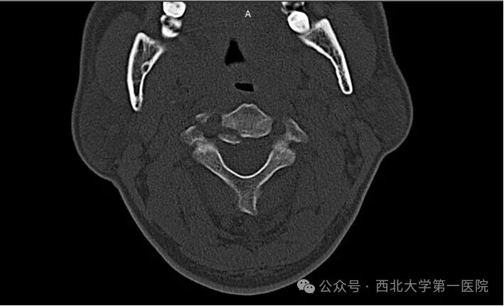
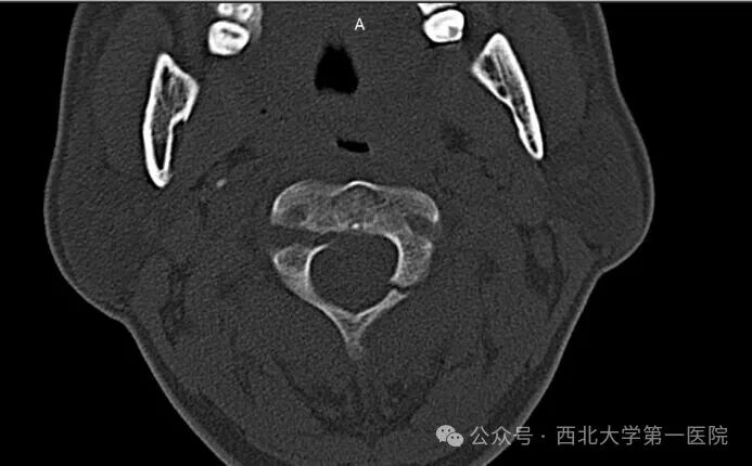
本例患者张先生(化名)遭遇汽车追尾事故。事故发生时,巨大的暴力瞬间作用于颈椎,导致其颈部剧痛、活动严重受限。被紧急送至西北大学第一医院后,急诊颈椎CT三维重建检查明确诊断为Hangman骨折(Levine - Edwards分型Ⅱ型)。影像资料显示,张先生的第二颈椎(枢椎)两侧椎弓根骨折,椎体向前移位,颈椎稳定性遭到严重破坏。脊髓作为人体的“神经总电缆”,在骨折断端间承受着巨大的压迫和牵拉风险,随时可能引发呼吸心跳骤停或四肢瘫痪等严重后果,情况万分危急。

患者伤后CT冠状面显示,C2椎体双侧椎弓根均有骨折,属于不稳定的Ⅱ型骨折。对于此类患者,时间就是生命,速度关乎功能恢复。脊柱外科(骨科三病区)迅速启动应急预案,为患者佩戴头颈胸支具严格制动,并立即组织多学科术前讨论。保守治疗虽有一定尝试空间,但对于这种明显移位的Ⅱ型骨折,长期卧床牵引不仅愈合率低,还存在滑脱加重的高风险,犹如一颗“定时炸弹”。经过严谨、审慎的评估,医疗团队最终决定为张先生实施“后路颈椎切开复位、C2椎弓根螺钉 + C3侧块螺钉钉棒系统内固定融合术”。
枢椎椎弓根最窄处仅有数毫米,其内侧是脆弱的脊髓,上方是供应大脑的椎动脉,置钉过程难度极高,如同在“悬崖边上走钢丝”,要求主刀医生具备极其丰富的解剖学知识、三维空间想象能力和稳如磐石的操作手感。

手术团队借助术前三维CT规划数据,结合术中C型臂X光机多次透视定位,精准操作。最终,四枚长度、直径均经过精密计算的螺钉,完美植入C2椎弓根及C3侧块预定位置,成功避开了椎动脉和脊髓。安装连接棒后,术中透视显示:颈椎生理曲度恢复,骨折复位满意,内固定位置精准无误。全场人员悬着的心终于落下,手术取得圆满成功。
在医护人员的精心照料下,患者未出现任何神经并发症,颈部疼痛显著缓解,目前正在顺利康复中。术后颈椎DR显示,内固定物位置良好。
西北大学第一医院脊柱外科(骨科三病区)始终秉持“脊梁守护,精益求精”的科训,不断挑战技术禁区。此例高难度Hangman骨折手术的成功,不仅是单一技术的胜利,更是该院多学科协作诊疗模式、精准外科理念与优质护理服务深度融合的典范。
该科室负责人表示:“救治此类上颈椎严重损伤,是对一个脊柱外科综合实力的终极考验。它要求我们不仅要有迎难而上的勇气,更要有精益求精的技术和多学科协作的保障。此例手术的成功,标志着医院脊柱外科在高难度颈椎创伤领域的治疗水平达到了新的高度,我们有能力、有信心为更多危急重症脊柱患者托起‘脊’梁,守护希望。”
同时,骨科三病区(脊柱外科)也再次提醒广大民众:驾车时务必系好安全带,运动过程中注意安全,在家中要防止滑倒。若因外伤出现颈后部剧痛、颈部僵硬与活动受限、头痛(常放射至枕部)、上肢麻木、刺痛感或无力、四肢感觉运动障碍、呼吸困难等情况,请及时前往医院就诊。