互联网新闻信息许可证服务编号:61120190002

陕西互联网违法和不良信息举报电话:029-63907152

新闻热线:029-86253335

西安市第八医院举办2025年国家网络安全反诈知识宣传讲座

9月15日至9月21日是国家网络安全宣传周,为切合此次宣传周主题“网络安全为人民,网络安全靠人民——以高水平安全守护高质...

2025-09-19

以金融“温度”提升银铃幸福“刻度”

9月19日,第三届西安国际养老产业博览会(以下简称“西安老博会”)盛大开幕。为积极响应国家关于银发经济和养老金融的战略方向,历经3年专业经验积累...

2025-09-19

颐悦康养|丝路邻里 三年深耕 80%+入住率见证养老服务硬实力!

西安颐悦康养产业发展有限公司,是西安投资控股有限公司养老业务板块。历经三年深耕,以80%+的平均入住率,成为长者与...

2025-09-19

【阳光药监】我省将参与化妆品个性化服务第二阶段试点工作

记者从陕西省药品监督管理局获悉,9月17日,国家药监局发布《关于开展化妆品个性化服务第二阶段试点工作的通知》(以下简称《通知...

2025-09-19

西安医学院一附院专家到西安市第八医院开展住培工作督导检查

为进一步规范传染科专业住培协同基地管理,提升培训质量,9月17日上午,西安医学院第一附属医院专家组一行四人莅临西安...

2025-09-19

陕西药品追溯码查询功能上线,怎么用→

近日记者从省医疗保障局获悉:陕西医保App新增药品追溯码查询功能参保群众扫码即可获取药品销售全流程信息该功能为用药安全加设了“电子防线”具体如何查询?方法可查看下方攻略↓↓↓查询步骤第一步:下载并登录...

2025-09-19

陕西省保健学会心肺预防康复专委会成功换届 新一届委员会扬帆起航

9月19日,陕西省保健学会心肺预防康复专委会年会及专委会换届大会在西安成功举办。本次大会由陕西省保健学会...

2025-09-19

西安交大二附院成功开展西北首例“听神经瘤切除术+脑膜瘤切除术+人工耳蜗植入术”一站式手术

近日,西安交通大学第二附属医院成功开展西北首例“听神经瘤切除术+脑膜瘤切除术+人工耳蜗植入...

2025-09-19

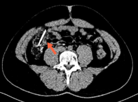
10 厘米 “危险物” 藏身肠道回盲部 西安市第八医院内镜手术精准 “排雷”

近日,西安市第八医院内镜中心成功实施一例高难度结肠镜下异物取出术,将一名青年男性患者肠道回盲部深藏的 10 厘米 “危险物” 完整取出。该手术以微创方式为患者解除病痛,成功规避了...

2025-09-18

樊代明院士受邀为西北大学第一医院中层干部“赋能充电”

9月16日,西北大学第一医院举办2025年中层干部综合能力提升培训班开班仪式。本次培训以“精进管理,提质增效”为主题,旨在全面提升中层干部的综合素养与管理能力。西北大学副校长曹蓉...

2025-09-18

共 8583 条 共 859 页 首页 8 9 10 11 12 13 14 15 16 17 尾页