互联网新闻信息许可证服务编号:61120190002
陕西互联网违法和不良信息举报电话:029-63907152
2025-12-11 17:58:52 来源:阳光网-阳光报
阳光讯(记者 邓龙辉 通讯员 崔婕 )“现在不怎么疼了,身上也舒服多了,真是太谢谢你们了!”术后恢复良好的黄先生(化姓)由衷说道。
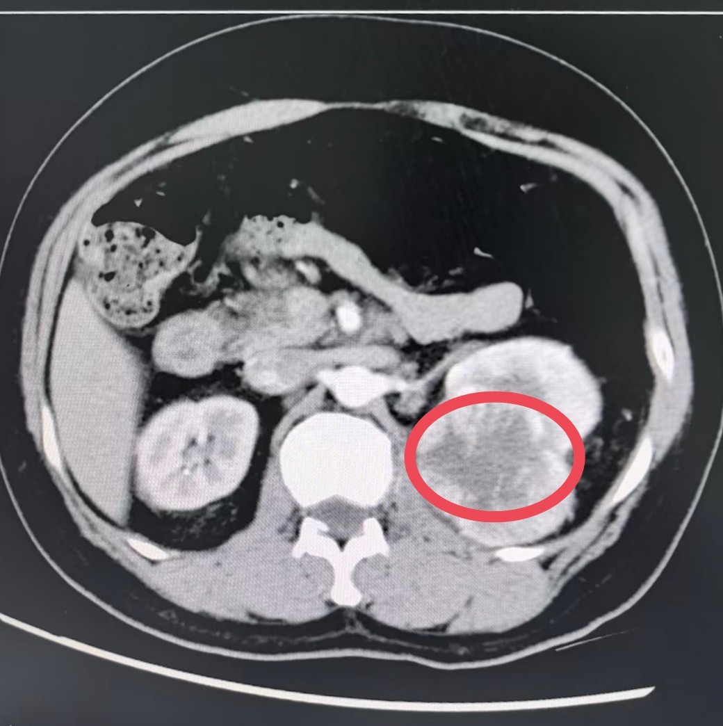
而就在不久前,一个直径达7.5*5.5厘米的肿瘤,正悄然藏在他的左肾上极,如同一个危险的“地雷”。
因左侧腰腹部持续隐痛并出现血尿,黄先生在当地医院就诊,查出左肾肿瘤,初步诊断为肾癌。若采用传统开放手术,需切开一道15至20厘米的创口,创伤大、出血多,康复之路漫长。为寻求更优治疗方案,他来到西安,转入西京医院九八六医院泌尿外科。

入院后,全面细致的术前检查迅速完成,但新的挑战出现:肿瘤体积巨大,且紧密毗邻肾门血管,血供丰富。这意味手术中必须像排雷一样,在错综复杂的血管网络中精准解剖、稳妥止血,稍有不慎便可能引发大出血,风险极高。
面对难题,西京医院泌尿外科于磊副教授与九八六医院泌尿外科张武合主任多次组织团队分析讨论,利用三维重建技术精心规划手术路径,制定了周密方案。最终,团队决定迎难而上,为黄先生施行“腹腔镜下左侧肾癌根治术”。
这项技术被誉为泌尿外科领域的“高精尖”操作,要求医生在仅有的几个“钥匙孔”般大小的通道内,完成分离、切割、止血等一系列精细动作,难度不言而喻。

手术如期进行。在九八六医院泌尿外科蒋遥主治医师及麻醉团队的密切配合下,西京医院泌尿外科武鹏副主任医师在患者腰部精准定位,建立了三个直径不足1厘米的微小通道。
通过腹腔镜的清晰视野,逐步游离肾脏、分离输尿管,最终直面最关键的挑战——处理错综复杂的肾动静脉血管束。在毫厘之间精细解剖,稳妥控制每一支血管,最终将肿瘤及左肾完整切除,并通过小切口顺利取出。整台手术出血极少,最大限度保护了周围组织。
得益于微创技术的显著优势,黄先生术后恢复迅速,疼痛轻、下床早,一周后顺利出院。
武鹏副主任医师介绍:“微创手术的核心,是以最小创伤实现同等甚至更优的根治效果。此次手术的难点,是在腹腔镜的放大视野下,精准处理肾动静脉这组‘生命线’。这考验的不仅是技术,更是医生的耐心、专注和心理素质。很高兴,我们成功完成了这次‘排雷’任务。”
此类高难度手术的成功实施,为科室治疗复杂肾脏肿瘤积累了宝贵经验,助力微创治疗向“高、精、尖”目标再上新台阶。在西京医院泌尿外科秦卫军主任团队的持续支持与帮带下,九八六医院泌尿外科正不断提升诊疗水平,让更多患者在家门口就能享受到高质量的医疗服务。
专家简介

武鹏,空军军医大学西京医院泌尿外科副主任医师,医学博士。
专业特长:
泌尿系肿瘤的微创手术治疗、前列腺癌精准穿刺诊断与全程管理、膀胱癌保留膀胱综合治疗及女性尿失禁的手术治疗。参与多项国家及省部级科研项目,以第一作者发表学术论文二十余篇,参编专著3部。
学术任职:
中国医师协会泌尿外科分会修复重建学组委员,《中华泌尿外科杂志》青年编委,JCO中文版泌尿生殖系统肿瘤专刊青年编委,陕西省抗癌协会泌尿肿瘤专业委员会常委,西安医学会泌尿外科分会委员。