互联网新闻信息许可证服务编号:61120190002
陕西互联网违法和不良信息举报电话:029-63907152
2025-12-11 09:49:05 来源:阳光网-阳光报
近日,延安大学附属医院消化内科团队为一名恶性十二指肠梗阻的患者成功实施超声内镜引导下胃肠吻合术(EUS-GE)。该技术的成功开展彰显了“超级微创”技术在攻克复杂消化道疾病方面的优势,使我院成为目前省内少数能开展该技术的单位之一。
患者4年前确诊肝内胆管癌,行手术治疗。近1月出现反复恶心、呕吐,症状逐渐加重,不能进食,营养状况急剧恶化,严重影响患者的生活质量及疾病治疗。腹部CT考虑肿瘤复发导致十二指肠梗阻,胃潴留。消化内科刘鹏飞主任团队认真评估患者病情,并与患者及家属充分沟通后,决定实施先进的超声内镜技术EUS-GE,通过放置支架连通胃与肠道,为患者解决不能进食的困扰。

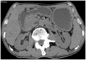
图1:可见肿瘤压迫十二指肠导致严重胃潴留
手术过程
在西安市第一医院消化内科张超主任的指导下,刘鹏飞主任、温彦丽副主任医师和多位医护人员紧密配合,首先运用导丝在X线透视下通过狭窄段肠管将导管置入空肠,持续注水使肠腔扩张;超声内镜(EUS)实时扫描确认扩张的肠管及最佳吻合点。在EUS监视下使用电切支架切开胃壁-空肠壁,先释放吻合支架空肠内法兰,向胃腔侧牵拉,再缓慢释放吻合支架胃腔侧法兰,安全顺利完成吻合支架释放,形成稳定的胃肠旁路。
术后患者情况良好,逐渐恢复了正常饮食,无腹痛、发热等不适。并顺利出院。
EUS-GE的适应症主要为:有明显梗阻症状的良恶性胃流出道梗阻、输入袢综合征等。通过建立“内镜下桥梁”,避开了传统手术创伤大、风险高、恢复慢等问题,尤其为身体羸弱、手术困难的患者提供了全新的解决方案;另一方面,该技术仅在内镜下操作,无体表切口,降低了术后感染、出血等风险;该技术因使用大口径全覆膜支架,且支架放置位置常远离肿瘤部位,与传统内镜下于狭窄处放置胃肠道支架相比,支架通畅时间更久,且发生支架相关并发症的风险更低。
本次手术的成功具有里程碑意义。EUS-GE技术的成功应用,反映了我院消化内科超声内镜引导下介入治疗手术又上了一个新的台阶,消化内科这支优秀的技术攻坚团队将以提高区域消化系病诊疗水平为目标,继续为区域百姓的健康保驾护航。