互联网新闻信息许可证服务编号:61120190002
陕西互联网违法和不良信息举报电话:029-63907152
2025-12-01 22:15:15 来源:阳光网-阳光报
阳光讯(记者 郑亚雷)近日,西安市第九医院神经外科二病区成功完成一例高难度手术,为一位61岁的患者解除病痛的同时,完美保留其神经功能,再次彰显了该科室精湛的医疗技术与勇于挑战的担当精神。

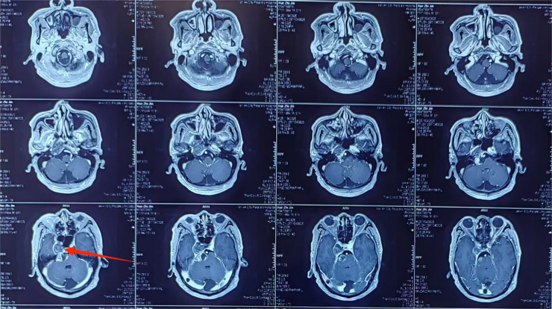
患者薛大爷(化名)一年前便出现右侧听力下降、面瘫以及右眼不能外展等症状。在外院进行头颅磁共振检查后,被考虑为右侧桥小脑角占位。由于该占位毗邻脑干,手术风险极高,家属出于安全考虑,仅让薛大爷接受了放射治疗。然而,一周前,薛大爷突发恶心呕吐,遂来到西安市第九医院神经外科二病区就诊。

入院后,医院为薛大爷完善了颅脑影像检查,结果令人揪心:右侧桥小脑角区肿瘤已明显挤压脑干。脑干,素有“生命的禁区”之称,其功能一旦受损,不仅会严重影响患者的生活质量,甚至可能危及生命安全。

面对如此复杂且凶险的病情,神经外科学科带头人、神经外科二病区主任郭清保对薛大爷的病情进行了详细评估。他指出,患者脑干已受到压迫,而桥小脑角区解剖结构复杂,肿瘤不仅明显挤压脑干,还压迫右侧颈内动脉颅内段。更为棘手的是,患者此前接受过放疗,导致肿瘤与周围组织严重粘连,分离过程中极易出血,手术难度堪称巨大。
尽管困难重重,但郭清保主任及其团队没有退缩。手术过程中,当面对颈内动脉及脑干附着面这一关键且危险的部位时,郭主任凭借着丰富的经验和精湛的技术,谨慎地剥离肿物,同时密切关注着患者的生命体征变化。经过紧张而细致的操作,手术顺利完成。
令人欣喜的是,薛大爷术后正常苏醒,神经功能完好无损地保留了下来。一周后,薛大爷已经能够下地行走,恢复状况良好。郭清保主任再三叮嘱薛大爷要定期复查,以确保身体持续康复。

对于科室医护人员的全力照护,薛大爷及其家属感激不已。为了表达这份诚挚的谢意,他们特意向郭清保主任及其团队赠送了锦旗。这面锦旗,不仅是对医护人员辛勤付出的肯定,更是医患之间深厚情谊的见证。西安市第九医院神经外科二病区用实际行动诠释了“医者仁心”的深刻内涵,为更多患者带来了生命的希望。