互联网新闻信息许可证服务编号:61120190002
陕西互联网违法和不良信息举报电话:029-63907152
2025-11-21 18:35:39 来源:阳光网-阳光报
阳光讯(记者 郑亚雷)11月11日,西安市中心医院手术室内,一场跨越学科界限的生命协奏曲悄然上演。烧伤整形美容外科刘宾主任团队、妇产科李冰琳主任团队、麻醉科延育强主任团队及手术室护理团队强强联手,仅历时3小时20分钟,成功为一位女性患者同步实施腹壁整形术、腰腹部精细化吸脂术、子宫肌瘤切除术及双侧卵巢附件切除术。这标志着该院多学科MDT团队协作手术能力的新高度,不仅体现了医院在围手术期管理、疼痛控制、康复指导等环节的精细化水准,更以“医疗精度 + 人文温度” 的双重保障,深刻诠释了 “以患者为中心”的核心服务理念,为兼具健康需求与生活品质追求的患者,提供了高水平、一体化的医疗解决方案。
五十余岁的冯女士,多年前体检发现的子宫肌瘤及卵巢囊肿虽属良性,却呈持续增大趋势,自己已经丧失功能的卵巢,需长期口服药物来维持体内激素平衡,对她的身心均产生了较多的负面影响。与此同时,生育后遗留的腹部皮肤松弛、脂肪堆积及妊娠纹问题,更是困扰了她二十余年——期间她尝试过健身、美容等多种改善方式,均未能达到理想效果。“和朋友聊天时,偶然得知西安市中心医院刘宾主任的腹壁整形团队,听说这位被患者亲切称作‘刘妈’的专家,已成功为成千上百位宝妈解决了腹部松弛、腰腹脂肪堆积的难题。” 抱着对专业团队的信任,冯女士心中萌生了一个大胆的想法:希望能在刘宾主任的诊疗下,将子宫肌瘤、卵巢囊肿及腰腹形态改善三大难题同步解决,于是主动前往医院寻求帮助。
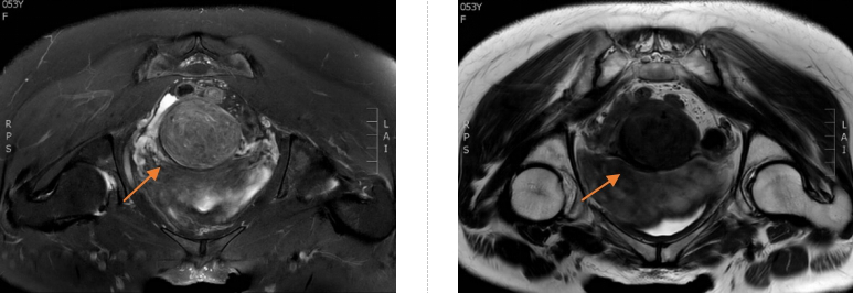
让冯女士惊喜的是,刘宾主任在充分评估她的病情与诉求后,当即联合妇科李冰琳主任团队展开多学科会诊,很快便给出了明确答复:“由于入院后盆腔MRI检查精准提示:子宫体下段可见一大小约:60mm×57mm×50mm 的占位性肿块,较前明显增大,已形成明确健康隐患。按照传统诊疗模式,子宫肌瘤切除术、双侧卵巢附件切除术与腹壁整形术、腰腹部精细化吸脂术需分两次实施,中间还要间隔数月恢复期。这不仅意味着要经历两次麻醉、两次创伤,腹部还会留下多处手术瘢痕,既增加了医疗风险,也延长了整体康复周期。而我们可以通过一体化联合手术方案,借助腹壁整形的精准切口同步开展妇科手术——无需额外增加创口,就能一次性完成病灶清除与形态修复。这样一来,既避免了二次手术的痛苦和麻醉风险,大幅缩短了恢复时间,还能最大程度减少瘢痕遗留,让治疗对身体的负担降到最低,同时满足健康保障与形态改善的双重需求。”

手术当天,西安市中心医院手术室内,延育强主任团队率先登场,采用“超声下引导腹横肌平面神经阻滞+气管插管全身麻醉”的复合策略。精准的神经阻滞有效阻断了术中术后疼痛传导,为减少全麻药量、加速苏醒打下坚实基础。之后,李冰琳主任团队在麻醉保障下,以精湛的技术,高效完成子宫肌瘤剔除及双侧卵巢附件切除。操作干净利落,出血控制精准,为后续整形手术创造了清晰、稳定的术野。最后,刘宾主任团队接过“接力棒”,实施腹壁整形术联合腰腹部精细化吸脂术。团队凭借对皮瓣血运的精准把握,在去除冗余皮肤脂肪的同时,精细折叠腹直肌,重塑紧致腰腹曲线,将功能改善与形体美学完美融合。与此同时手术室护理团队是贯穿始终的坚实后盾。从精密器械传递到生命体征监测,从体温保护到体位管理,她们以默契配合与专业素养,确保了各环节无缝衔接,手术流程如行云流水。此例手术实现了腹部疾病治疗与腹壁形体美学的完美融合,标志着“一站式”外科精准治疗与美学重塑新篇章的开启。

刘宾主任术后说:“这类联合手术特别适合像冯女士这样“有健康隐患+有塑形需求” 的产后宝妈们,既同时解决各位宝妈们腹部疾病和形态问题,也节省了时间和经济成本。而这次联合手术的成功,不仅是医院多学科协作能力的体现,更彰显了医院始终追求患者最大利益的初心——从宝妈们的实际需求出发,打破学科壁垒,让宝妈们在治愈疾病的同时,更能收获健康与自信。