互联网新闻信息许可证服务编号:61120190002
陕西互联网违法和不良信息举报电话:029-63907152
2025-11-19 19:17:03 来源:阳光网-阳光报
阳光讯(记者 郑亚雷)近日,西安市红会医院神经外科(北院区)团队联合麻醉科、心血管内科、血液肿瘤放疗科、消化外科等多学科专家,成功为一名复杂复发性颅内血管周细胞瘤并伴有多系统危重并发症的患者张女士实施了高难度颅内肿瘤切除术。该手术的成功标志着该院在复杂高危颅内肿瘤的综合治疗及围手术期管理方面已迈上新台阶。

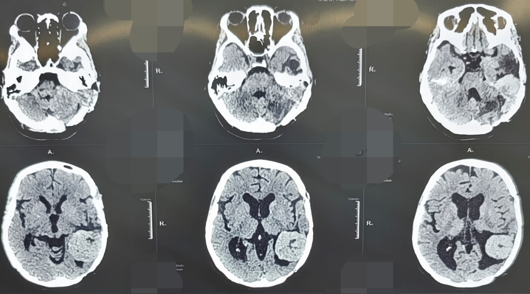
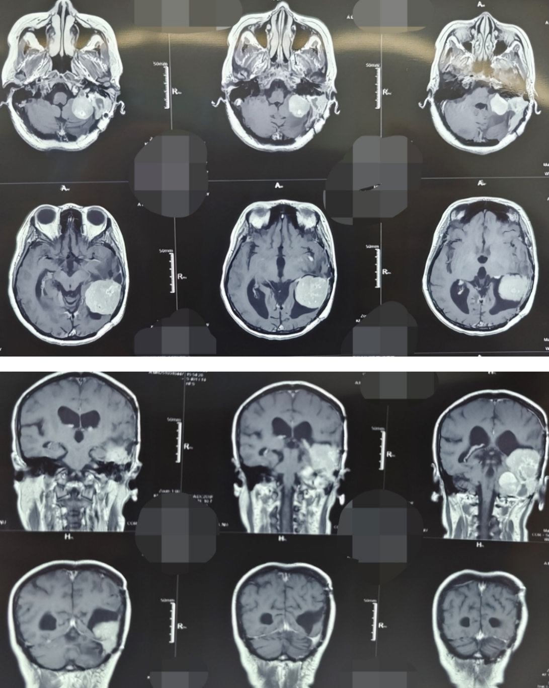
45岁的张女士,因“头晕、耳鸣伴听力下降”来到西安市红会医院就诊。她曾在2011年和2017年两次因颅内血管周细胞瘤于外院接受开颅手术治疗,并进行术后放化疗。此次入院后影像学检查显示,肿瘤在左侧颞部及桥小脑角区复发。该区域毗邻脑干、面神经、听神经及多条重要血管,素有“生命禁区”之称,手术风险极高。
更为严峻的是,进一步检查发现患者体内存在高度疑似肝脏转移灶,提示疾病可能已进入晚期;同时合并严重贫血、心脏电生理异常等多种并发症。病情复杂、风险叠加,任何环节处置不当均可能导致严重后果。



面对这复杂病例,医院迅速启动多学科协作(MDT)诊疗机制。神经外科、麻醉科、心血管内科、血液肿瘤放疗科、消化外科等多个科室专家开展深入术前讨论。
该院神经外科主任医师赵东升表示,这不仅是一台外科手术,更是一场需要多学科协同作战的系统性战役。团队为患者量身定制了周密的围手术期管理方案,积极纠正贫血、控制潜在感染、优化心脏功能,力求将患者全身状态调整至最佳水平;同时,神经外科团队制定了详尽的手术预案,在确保安全的前提下,最大限度切除肿瘤。
经充分术前准备,手术如期实施。由赵东升主任医师主刀,在神经电生理实时监测的精准引导下,手术团队如同在“雷区”中谨慎排雷。鉴于血管周细胞瘤血供极其丰富,素有“血瘤”之称,团队采用先进显微技术分块次全切除肿瘤,并严密止血,有效控制术中出血。在分离肿瘤与脑干、面神经、听神经等关键结构的粘连过程中,团队操作精细、稳慎推进,最大限度保护了神经功能。整个手术过程平稳顺利,患者生命体征在麻醉团队的精准调控下始终保持稳定。
术后,张女士意识清醒,生命体征平稳,四肢活动自如,未出现新发神经功能缺损。此次高难度手术的成功,不仅为患者后续接受放化疗等综合治疗赢得了宝贵时机,也极大增强了其战胜疾病的信心。

手术的成功,充分体现了西安市红会医院多学科协作(MDT)诊疗模式在应对疑难危重症方面的显著优势,彰显了医院医护团队勇于担当、攻坚克难的专业精神与技术实力,也为类似复杂颅内肿瘤患者带来了新的希望。