互联网新闻信息许可证服务编号:61120190002
陕西互联网违法和不良信息举报电话:029-63907152
2025-11-07 09:41:26 来源:阳光网-阳光报
阳光讯(记者 郑亚雷)日前,在西安市第九医院,一位83岁高龄的食管鳞癌患者丁某(化名),通过精准放疗成功实现“带瘤生存”,生活质量大幅提升,为高龄癌症患者治疗带来新希望。
高龄患病 治疗陷入困境
2024年9月,83岁的丁某被确诊为食管鳞癌。此时的他年事已高,且合并多种慢性疾病,外科手术风险极大。起初,丁某尝试了单药免疫治疗及单药化疗,然而吞咽困难症状不仅没有缓解,反而持续加重。到2025年1月,丁某仅能进食少量流食,生活质量急剧下降,家人心急如焚,赶忙带他前往西安市第九医院放疗科就诊。经检查,明确丁某食管鳞癌已进展,病灶堵塞食管,导致吞咽功能严重受损,同时合并多种慢性疾病,身体耐受度极差。

多学科会诊 精准“攻坚”
面对丁某高龄、基础病多、治疗耐受差等诸多难题,西安市第九医院放疗科迅速联合肿瘤内科、影像科、营养科等多学科团队(MDT),展开了一场“医学精准攻坚战”。
在技术选择上,采用了调强放射治疗(IMRT)技术。借助影像引导,精准定位肿瘤病灶,通过剂量优化,在充分保护心脏、肺、脊髓等周围正常组织的前提下,对肿瘤进行高剂量靶向照射。
多学科团队全程护航,结合丁某的年龄、体质以及肿瘤特点,规避高风险治疗方案,同步制定营养支持、不良反应防控等配套措施,确保治疗安全有序进行。
精准放疗显奇效 生活质量大提升
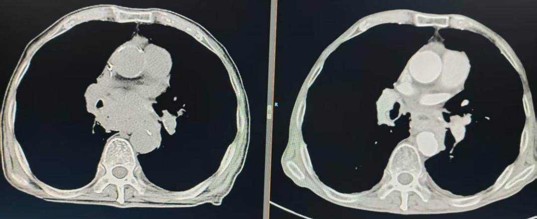
经过2个月的精准放疗,奇迹出现了。丁某的肿瘤体积缩小超过70%,吞咽困难症状明显缓解。在放疗科团队的精心操作下,丁某顺利完成全程调强放射治疗,治疗过程中耐受性良好,未出现严重不良反应。
术后,丁某吞咽困难症状大幅改善,能够正常进食,精神状态明显好转,营养摄入恢复正常,生活质量显著提升,无需长期卧床。丁某终于摆脱了“吃不下饭”的痛苦,重新燃起了对生活的希望。
精准放疗:高龄癌症患者的“福音”
精准放疗是一种“看不见、摸得着”的肿瘤治疗技术。它通过先进影像设备精准定位肿瘤,如同“精准制导导弹”一般,将高剂量放射线聚焦于肿瘤组织,实现“高效杀瘤、低毒护正常”。尤其适合高龄、基础病多、无法耐受手术或化疗的肿瘤患者。
专家解读:高龄癌症不应轻易放弃
西安市第九医院专家表示,高龄并非癌症治疗的绝对障碍。随着医疗技术的不断进步,精准放疗、免疫治疗等手段日益成熟。比起盲目放弃,个体化精准治疗能更有效地控制病情,延长生存期,同时最大限度地保障患者的生活质量。
专家还提醒,食管癌早期症状隐匿,若出现吞咽梗阻感、胸骨后疼痛等症状,尤其是高龄人群,应尽早就诊。目前,即使高龄或体质较弱的患者,仍可通过单纯放疗、放疗结合化疗和免疫治疗等手段有效控制病情,延长生存期并提高生活质量。