互联网新闻信息许可证服务编号:61120190002
陕西互联网违法和不良信息举报电话:029-63907152
2025-10-27 15:19:26 来源:阳光网-阳光报
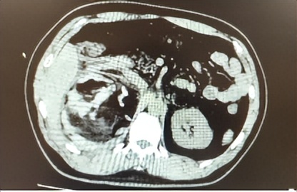
阳光讯(记者 郑亚雷 通讯员 周海彬)近日,40岁的王先生(化名)因“右侧腹部剧烈疼痛3小时”紧急前往西安医学院第一附属医院急诊科就诊。急诊CT检查显示:右侧肾上腺区存在巨大占位性病变,直径约10厘米,疑似肿瘤破裂合并出血。病情危急,急诊科立即联系泌尿外科会诊。

快速诊断:泌尿外科火速接管
西安医学院第一附属医院泌尿外科宋益挺副主任医师迅速到场,结合影像资料与实验室检查结果,初步判断患者为肾上腺肿瘤自发性破裂出血。在科主任张鸿毅的指导下,团队立即启动急诊收治流程,将患者快速转入泌尿外科病房。
医务人员同步监测患者生命体征、完善相关检查,并联合麻醉手术科、普通外科、内分泌代谢科、影像科等多学科专家会诊,全面评估病情以制定治疗方案。张鸿毅主任指出:“肾上腺破裂出血难以自行愈合,继续保守治疗风险极高,必须尽快手术切除止血,才能确保患者转危为安。”
团队协作:周密评估与果断决策
西安医学院第一附属医院泌尿外科团队对患者的心肺功能、内分泌水平及出血情况进行细致评估,完善术前准备。经多学科团队充分讨论,决定为患者实施“机器人辅助腹腔镜下右肾上腺病灶切除术”。
麻醉手术科全程精密监测患者血流动力学变化,护理团队提前完成术前宣教与体位调整,确保手术各环节紧密衔接。

手术时刻:沉着、精准与信任
手术室内,医生通过机器人精密机械臂进入腹腔,借助放大的三维高清视野,在细微空间中精准分离血管与肿瘤组织。术中,泌尿外科团队保持冷静,操作稳妥有序。
历经数小时,肿瘤被完整切除,术中出血量控制在安全范围内,手术取得圆满成功。
术后恢复:细致护理,稳步康复
术后,王先生在西安医学院第一附属医院泌尿外科病房接受系统康复治疗。护理团队根据病情变化,制定个性化护理方案,包括早期活动指导、引流管管理、饮食调整及心理安抚。
在全体医护人员的精心照护下,患者恢复平稳,精神状态良好,近日已顺利出院。
健康科普:你了解“肾上腺”吗?
肾上腺是人体重要的内分泌器官,负责分泌调节血压、代谢及应激反应的激素。尽管多数肾上腺肿瘤为良性,但当肿瘤体积过大或血供丰富时,可能引发破裂出血,危及生命。
警惕信号包括:腹部或腰背部持续钝痛;面色潮红、出汗、心悸、血压波动;无明显诱因的突发腹痛或休克症状。
温馨提示:
定期进行体检,关注肾上腺健康;出现不明原因腹痛或影像学提示肾上腺异常时,应尽早就医。早期识别、规范治疗,可有效避免严重并发症。