互联网新闻信息许可证服务编号:61120190002
陕西互联网违法和不良信息举报电话:029-63907152
2025-10-20 22:06:27 来源:阳光网-阳光报
阳光讯(记者 郑亚雷)“虽然患者存在较高手术风险,但我们必须在保障安全的前提下,以快速精准的操作将病灶切除。”当 68 岁的刁老先生不幸罹患恶性肿瘤且双下肢存在血栓,不远千里慕名来到西安市人民医院(西安市第四医院)就医时,一场多学科协作的高能“拆弹”手术就此拉开帷幕,而信赖也在此刻迸发出了奇迹的光芒。
千里寻医:信任照亮希望之路
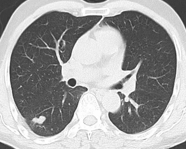
68 岁的刁老先生来自江苏扬州,一月前在一家医院体检时,一份右肺下叶结节的 CT 报告让他的生活泛起了涟漪。报告显示,右肺下叶存在实性结节,大小约 17mm×10mm,影像学可见毛刺、胸膜牵拉及分叶征等高危特征,初步判断为恶性肿瘤可能,建议进一步穿刺活检。看到报告的瞬间,刁先生的脑海中浮现出一个名字——西安市人民医院航天院区胸部病院副院长张潍主任医师。出于对张潍教授的深切信任,刁老先生与家属毅然决定专程前来就诊,并表达了希望进行手术治疗的意愿。
病情棘手:血栓成手术“拦路虎”
张潍教授团队迅速为刁先生完善了术前的各项检查,然而检查结果却让大家的心都提了起来。刁先生双侧下肢静脉存在血栓:右侧小腿股浅静脉、腘静脉及肌静脉呈完全充填型血栓,左侧腘静脉为不完全充填型血栓。这一情况如同在手术道路上横亘了一块巨大的巨石,不仅大幅增加了手术难度与风险,更意味着患者在围术期极有可能因血栓脱落导致肺栓塞,直接威胁生命安全,诊疗团队面临着前所未有的巨大挑战。

多科联动:筑牢安全“防护网”
面对这一复杂病情,张潍教授立即启动了院内多学科会诊机制。胸科病院张艰院长亲自主持术前讨论,带领胸外科团队全面分析患者病情,对术中及术后可能出现的各类风险进行了细致研判。
联合介入科进行紧急评估后,介入科团队于当日 18 时与家属充分沟通,急诊为患者在局麻下行“下腔静脉造影 + 下腔静脉滤器置入术”。这一手术如同为患者构筑起了一道关键的安全防线,有效预防了血栓脱落引发肺栓塞的风险,为后续外科手术的顺利进行奠定了坚实基础。手术顺利完成后,患者安返病房。
解决了血栓的问题,新的挑战又接踵而至。尽管滤器置入术降低了血栓脱落风险,但患者能否耐受全身麻醉仍是手术成功的关键环节。张潍主任团队与麻醉科展开了多次深入沟通,麻醉科胡胜主任亲自指导本次麻醉方案的制定与实施。经过全面、细致的术前评估,麻醉团队凭借精准的操作,成功为患者实施全麻插管,保障患者平稳进入手术状态。

精准施术:医护携手共克难关
术中,在张潍教授的主刀及全程指导下,手术团队操作沉稳、手法娴熟,与麻醉团队紧密配合。他们如同技艺精湛的工匠,迅速而精准地完成了右肺下叶结节的切除。整个手术过程顺利,几乎无出血,患者生命体征平稳,仿佛一场精心编排的舞蹈,每一个动作都精准无误。
术后,胸科病院护理团队承担起了重要的康复护航任务。他们严格执行医嘱,从体位管理、活动指导到用药护理,每一个环节都一丝不苟。同时,全面加强血栓预防措施,显著降低了术后深静脉血栓形成、肺栓塞以及心脑血管意外等并发症的发生风险。
康复出院:精湛医术守护健康
在医护团队的共同努力和精心照护下,刁老先生恢复良好,术后一周即顺利出院。这一场与病魔的较量,最终以医护团队的胜利和患者的康复画上了圆满的句号。
西安市人民医院胸部疾病诊疗中心始终秉持对医术的极致追求、对生命的深切敬畏,严控医疗质量安全,强化多学科协作机制。中心致力于为胸外伤、肺结节、肺肿瘤、气胸、胸腔积液、胸痛等各类胸科疾病患者提供全面、精准、安全的诊疗服务。未来,中心将继续坚持“以患者为中心”的服务理念,以精湛技术和温暖关怀守护每一位患者的健康,书写更多生命的奇迹。