互联网新闻信息许可证服务编号:61120190002

陕西互联网违法和不良信息举报电话:029-63907152

新闻热线:029-86253335

西安高新医院神经内科成功为92岁患者取出15公分血栓

2025-10-09 20:45:24 来源:阳光网-阳光报

阳光讯(记者 郑亚雷)近日,西安高新医院神经内科学科带头人、三病区主任贾颐教授迎来了一位极其特殊的患者,一位92岁高龄的老人。老人被120紧急送来时,已陷入深度昏迷,生命垂危。“患者的情况非常危急。”贾颐主任回忆道,“我们立即进行了核磁共振等检查,证实是脑干和小脑的急性梗死,最关键的是,供应脑干生命中枢的基底动脉完全闭塞了。”这种闭塞,医学上称为“基底动脉尖综合征”,是神经内科最凶险的急症之一,死亡率极高,会导致患者迅速陷入昏迷,甚至呼吸、循环衰竭而死亡。

延误的病情与艰难的决定

更棘手的是,老人其实已经错过了最佳的静脉溶栓治疗时间窗。贾颐主任指出,在发病前一天,老人就已经出现了“双眼看不清东西”的预警信号,但家属误以为是常见的“白内障”而未加在意。“这其实是一个非常重要的中风警示信号,”贾颐主任强调:“很多老年人出现双眼视物模糊、走路不稳等情况,常被归结为年纪大了,容易忽略其背后隐藏的脑血管病风险,从而延误了治疗。”

直到第二天早上,老人病情急剧加重,陷入昏迷,才被送往医院。此时,摆在贾颐主任团队面前的是一条无比艰难的路:手术,是唯一能挽救他生命的机会,但患者92岁高龄,心肺功能、肾功能都不好,手术麻醉风险极高,堪称“九死一生”。不手术,则意味着生命可能就此终结。 

迎难而上 技术突破年龄禁区

与家属进行充分、坦诚地沟通后,家属经过慎重考虑,最终选择了信任医疗团队,放手一搏。“我们评估后认为,尽管风险巨大,但仍有争取的机会。为了救命,我们必须迎难而上。”贾颐主任说。

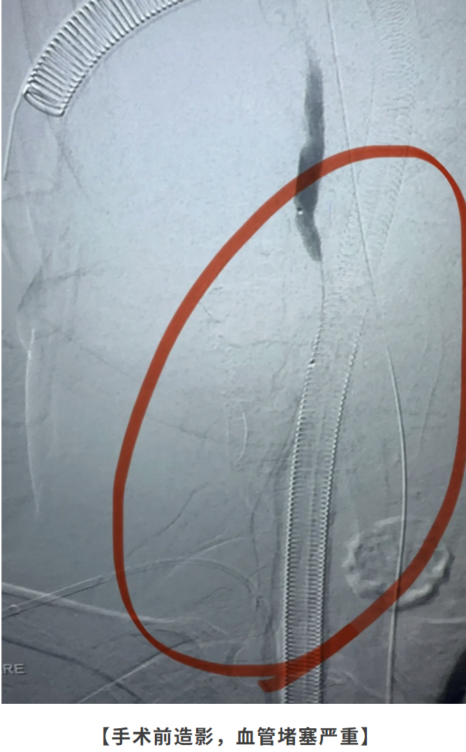
手术团队与麻醉科进行了缜密的术前准备。术中,贾颐主任发现情况比预想的还要复杂——患者基底动脉开口处就完全堵死,整个颅内大血管完全不显影。贾颐主任凭借丰富的经验和稳准的手法,通过手臂桡动脉入路,运用导管和支架技术,成功“探入”闭塞的血管深处。

惊心动魄 取出15公分长血栓

经过一番精细操作,贾颐主任成功取出了一条长约15公分的血栓,彻底疏通了这条“生命主干道”。术后造影显示,原本消失的基底动脉及其分支血管完美显影,血流恢复通畅! 

术后第三天老人苏醒

术后第一天的监护尤为煎熬,老人血压、心率一度极不稳定,通过严密监测和精心用药,医护团队始终守护着患者。终于,在术后第三天,奇迹发生了——老人苏醒了过来,能够完成指令动作,脱离了生命危险。贾颐主任表示:“这台手术的成功,不仅挽救了一位老人的生命,更证明了在现代医疗技术下,高龄不再是绝对的手术禁区。只要有百分之一的希望,我们就会付出百分之百的努力。”

 

科普:

如何识别中风预警

西安高新医院神经内科学科带头人神经内科三病区主任贾颐提醒广大市民:早期识别中风症状至关重要。如果突然出现的双眼视物模糊、重影或看不见,切勿想当然地认为是“老花眼”或“白内障”,这可能是后循环脑梗死的特有表现。

牢记“中风120”口诀:

��“1”看1张脸:面部是否不对称,口角歪斜?

��“2”查2只胳膊:平行举起时,是否有一侧无力下垂?

��“0”聆听语言:是否说话含糊不清,无法表达?

一旦出现任何上述症状,立即拨打120!抓住黄金救治时间窗,西安高新医院神经内科是省市两级卒中定点医院、兼备溶栓和取栓技术,是西北经桡神经介入领头单位,能为脑卒中患者提供及时、规范的精准救治。

责任编辑:唐兆妍