互联网新闻信息许可证服务编号:61120190002
陕西互联网违法和不良信息举报电话:029-63907152
2025-09-30 13:59:40 来源:陕西中医药大学第二附属医院
近日,陕西中医药大学第二附属医院心内一科团队在白宝宝主任的带领下,成功为一名前降支严重钙化伴重度狭窄的冠心病患者,实施了高难度的“冠状动脉旋磨术+冲击波球囊技术”复合手术,并顺利植入支架。
该手术的成功,标志着陕中二附院在应对复杂冠脉钙化病变领域再迈新台阶,具备了国内领先的“硬核”技术实力,为众多复杂冠心病患者带来了新的生机。
生命通道被“钢筋水泥”堵塞常规手术陷入困境
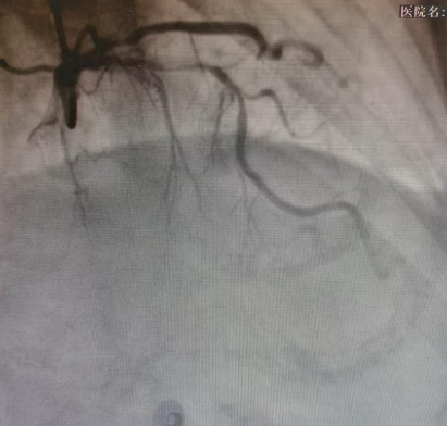
患者吕奶奶今年71岁,因反复严重胸痛入院。冠状动脉造影结果令医生们深吸一口气:心脏最重要的“生命主干道”——左前降支近段,被严重钙化斑块紧紧堵塞,狭窄程度超过95%,血管壁坚硬如石,在X光下呈现出典型的“脊背样”钙化影,IVUS显示360度环形钙化。

冠脉造影显示前降支严重狭窄伴钙化

IVUS显示前降支环形钙化
这种程度的钙化病变,是介入医生最棘手的挑战之一。心内科有句俗话说:天不怕地不怕,就怕冠脉有钙化。面对如此“硬骨头”,传统的球囊无法扩张开坚硬的钙化环,好比在顽石上铺路,支架无法顺利植入,即使强行植入,也极易出现膨胀不全、贴壁不良,导致支架内血栓形成或再狭窄的风险极高,手术失败率大增。
“金刚钻”巧破“瓷器活”“组合拳”打开新通道
面对挑战,心内一科组织了详尽的术前讨论,最终制定了领先的“双保险”作战方案,先以“金刚钻”开路,再用“隔山打牛”之术震松深层壁垒。
第一击:旋磨术“金刚钻”粉碎表层顽石
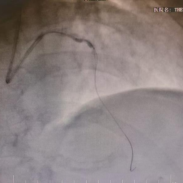
手术第一步, 首先使用普通球囊无法扩张钙化病变,随后使用直径仅有1.5毫米的钻石磨头(旋磨头),以每分钟近16万转的速度,对血管内的钙化斑块进行精准旋磨。这只高速旋转的“金刚钻”小心翼翼地研磨、粉碎了最表层的坚硬钙化,为后续治疗开辟了一条初步通道。

普通球囊无法扩张病变

冠状动脉旋磨术
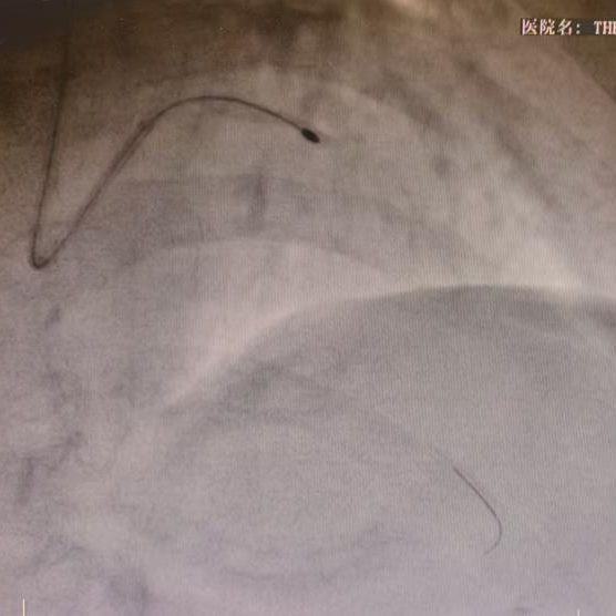
第二击:冲击波球囊“隔山打牛”震裂深层钙化
旋磨解决了“表面文章”,但血管壁深层的钙化环依然束缚着血管。团队随后使出了新利器——冲击波球囊技术。

冲击波球囊扩张病变
该技术犹如“隔山打牛”,在球囊低压扩张的状态下,通过发射高频声压力波,精准地“震裂”深层的钙化组织,而不会损伤柔软的血管壁。经过冲击波的处理,原本坚不可摧的血管恢复了应有的弹性。
决胜一击:精准植入支架生命通道恢复畅通
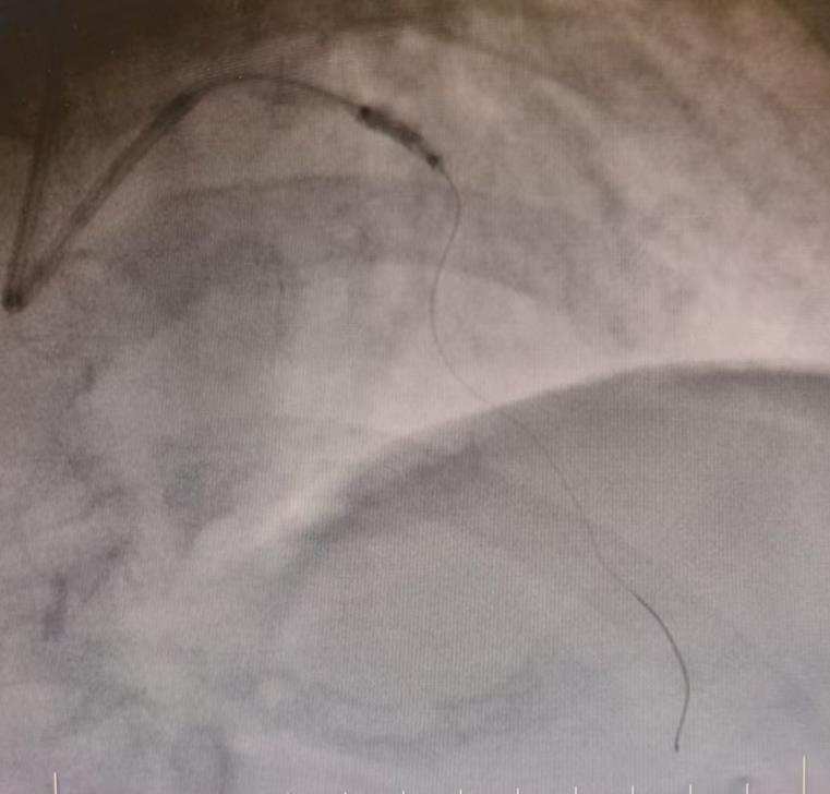
经过这两步精妙的预处理,原本坚硬的病变血管变得“顺从”。手术团队顺势而为,依次将药物洗脱支架精准植入到病变位置,并通过后扩张使其完美贴合血管壁。术后造影显示,患者前降支血流通畅,支架膨胀理想,手术取得圆满成功。

术后造影
术后,在中西医结合特色的心脏康复下,吕奶奶恢复良好,胸痛和胸闷症状已完全消失,脸上重现久违的笑容:以前走几步路就喘不上气,胸口像压着大石头。现在感觉整个人都轻松了,心脏舒服多了!
技术引领未来为复杂冠心病患者点亮“心”希望。
此次成功开展的“旋磨+冲击波球囊”复合技术,是目前处理严重冠脉钙化病变的最先进方案之一。它体现了陕中二附院心血管内科团队敢于挑战、锐意创新的精神,以及多技术、多器械融合应用的高水平。
这项技术的成功应用,意味着我们有了更强大的武器库来应对最复杂的冠心病。白宝宝主任表示,“未来,我们将继续紧跟国际前沿,不断提升技术水平,让更多以往被认为无法介入治疗或高危的患者,能够享受到微创介入手术带来的创伤小、恢复快的益处,重获‘心’生。”