互联网新闻信息许可证服务编号:61120190002

陕西互联网违法和不良信息举报电话:029-63907152

新闻热线:029-86253335

西安市长安区医院介入血管科成功救治高危型急性肺动脉栓塞

2025-09-18 11:24:21 来源:阳光网-阳光报

阳光讯(记者 郑亚雷 通讯员 刘茹艳)近日,西安市长安区医院介入血管外科团队与多科室通力协作,成功为一名急性高危型肺动脉血栓栓塞症患者实施了急诊肺动脉机械血栓清除术,将患者从死亡边缘奋力夺回。此次抢救的成功,再次凸显了速诊断与及时干预对于这种“沉默杀手”般的的重要性。

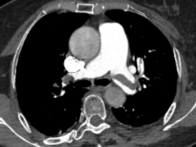
9月14凌晨2点,70岁的张女士上卫生间时突然晕厥,随后感胸闷、气喘,医疗团队反应迅速,行心电监测提示血氧饱和度70%!血压77/40mmHg,心率105次/分,结合患者症状及体征,考虑是发生了肺栓塞。在重症医学科团队协助下,为患者行呼吸机辅助通气,在呼吸机的维持下急查肺动脉CTPA检查结果显示:双肺动脉及其分支广泛肺动脉栓塞,肺动脉高压征象;心脏标志物增高;生命体征极不平稳,生命危在旦夕。

时间就是生命。介入血管科迅速响应,紧急评估认为,患者属于高危型肺栓塞,伴有血流动力学不稳定,并且该患者2天前行外科手术,溶栓治疗为禁忌症,可能引发致命性大出血。经与家属充分沟通并取得同意后,团队当机立断:立即行急诊介入手术——肺动脉血栓清除术!

介入手术室“一键启动”,一切准备就绪。介入血管科主任赵永华通过患者股静脉建立微创通道,将专用导管精准送达“犯罪血管”—被血栓堵塞的肺动脉。手术团队运用先进的血栓抽吸、清除装置,犹如精准的“管道工”,将堵塞肺动脉的主干血栓一一清除、抽出。术中造影可见,随着血栓被迅速清除,原本“断流”的肺动脉血流瞬间恢复,患者右心负荷明显减轻,血氧饱和度稳步上升,濒危的循环系统得以稳定;患者胸闷、气短症状即刻明显改善。

手术顺利结束,患者被转入病房进行后续监护治疗。目前,患者生命体征平稳,正在康复中。

肺动脉栓塞(Pulmonary Embolism, PE),并非罕见的疾病。它通常源于下肢或盆腔深静脉的血栓脱落,随血流“漂流”至肺动脉,造成血管堵塞。其起病急、进展快、死亡率极高,堪称“心血管领域的幽灵”。患者常表现为突发的呼吸困难、剧烈胸痛、咯血、晕厥等。但由于这些症状缺乏特异性,极易被误诊为心肌梗死、主动脉夹层或其他疾病。很多患者在确诊前便已遭遇不测,因此,它又被称为“沉默的杀手”。

介入血管科赵永华主任指出:“急性大面积肺栓塞的抢救,是一场与死神的赛跑。从症状识别、急诊CTA的诊断到最终的有效治疗,每一个环节都必须争分夺秒。介入血栓清除术作为一种微创、高效的治疗手段,为那些无法接受溶栓或溶栓失败的高危患者提供了生的希望。它无需开胸,创伤小,恢复快,能迅速解除肺动脉梗阻,改善循环,是现代介入医学应对急危重症的强大武器。”同时他提醒公众,尤其是高危人群,一旦出现不明原因的突发性呼吸困难、胸痛等症状,切勿掉以轻心,务必第一时间拨打120,前往有救治能力的大医院急诊就诊,及时的诊断和干预是挽救生命的关键。

责任编辑:任佳妮