互联网新闻信息许可证服务编号:61120190002
陕西互联网违法和不良信息举报电话:029-63907152
2024-11-18 16:24:02 来源:阳光网-阳光报
阳光讯(记者 郑亚雷)近日,西安交通大学第二附属医院心血管病院王洪涛副主任心脏电生理团队,成功完成西北地区首例一站式FARAPULSE脉冲导管消融联合Watchman FLX左心耳封堵术,并顺利解决了1例复杂房扑的消融难题。手术后,两位患者均恢复至正常窦性心律,生命体征平稳。
68岁的王女士因气短严重来到心内科门诊,经系列检查后提示: “全心扩大,射血功能仅剩约30%,心率飙升至143次/分,是快速房颤心室率”,接诊医生立即安排住院治疗。经咨询家属后了解到,王女士受气短困扰五年,三年前在骨折治疗时查出心脏异常,却未予足够重视,近日因情绪波动,症状加剧。73岁的房女士也因心悸、气短慕名前来心内科门诊就医。她持续性心房扑动,心率居高不下,经完善检查后被诊断为复杂房扑,急需住院进行治疗。
面对这两位病情棘手的患者,王洪涛副主任医师团队选则了全世界最先进的FARAPULSE脉冲电场消融技术与Watchman FLX左心耳封堵术。“脉冲消融技术每次放电仅需2.5秒,显著的缩短手术时间,极大地减轻了患者的身心负担。Watchman FLX左心耳封堵器则能有效阻止房颤时左心耳内血栓的形成,显著降低血栓栓塞风险,使患者得以摆脱长期口服抗凝治疗的束缚,同时降低出血风险。”王洪涛说。
手术过程中,王洪涛副主任带领范博渊主治医师、孙阳住院医师以及毛宝、王艺鹏、吴娇等进修医师,在麻醉、护理团队的紧密协作下,为两位患者成功实施手术。团队凭借精湛的技术与丰富的电生理经验,在X线与Pentary高精度标测导管的辅助下进行消融,68岁王女士的整个手术过程仅耗时27分钟。随后在血管内超声的精确引导下,顺利植入左心耳封堵器,手术总耗时仅两个半小时,较传统手术节省约一小时。
接着,王洪涛副主任医师团队为73岁的复杂房扑患者房女士进行手术,团队经过多次精细标测与消融,最终在右下肺静脉成功终止房扑。

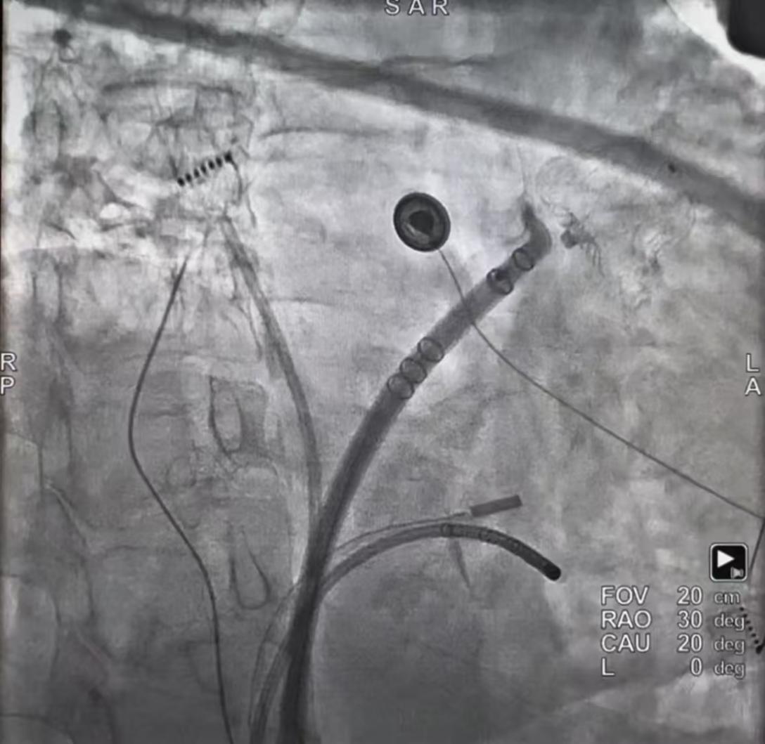
FARAPULSE脉冲导管以花瓣形态精准消融左上肺静脉

WATCHMAN FLX左心耳封堵器在左心耳内完美释放
经过一天的密切监测与观察,患者未表现出任何不适症状,现今,两位患者均已顺利出院。西安交通大学第二附属医院心内科电生理团队,正不断拓展心律失常治疗的边界,探索新技术、新疗法,为复杂心律失常患者带来新的曙光。